BỀN BỈ VỚI CHIẾC ĐIỀU HÒA CŨNG CÓ THỂ GẬY NGƯỜI NHIỀU NGƯỜI KHÔNG NGỜ ĐẾN RỦI RO SỨC KHỎE NGHIÊM TRỌNG!

BỆNH VIỆM NGHIÊM TRỌNG TỪ ĐIỀU HÒA – AI CŨNG NÊN BIẾT ĐỂ TRÁNH TIÊU CỰC

Gần đây, tại Bệnh viện Thái Châu (Chiết Giang, Trung Quốc), một bệnh nhân nam 70 tuổi đã bị viêm phổi nặng do nhiễm vi khuẩn Legionella pneumophila. Nguyên nhân chính được xác định là từ việc sử dụng điều hòa trong thời gian dài mà không vệ sinh định kỳ.

Người đàn ông này có tiền sử cao huyết áp và tiểu đường nhiều năm. Vào giữa tháng 1, ông được chuyển khẩn cấp đến Khoa Hồi sức tích cực với triệu chứng sốt cao, tức ngực kéo dài một tuần và nhanh chóng trở nặng trong vòng một ngày. Ban đầu, các triệu chứng tương tự cảm cúm nặng: sốt tới 40,5 độ C, rét run, ho có đờm, có máu trong đờm và tiêu chảy dạng nước. Sau khi tự uống thuốc hạ sốt ibuprofen, tình hình tạm thời thuyên giảm, nhưng nhanh chóng tái phát.

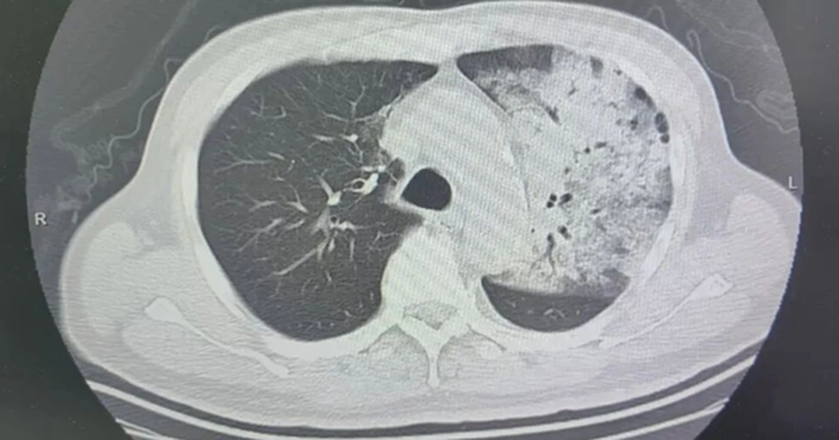
Sau một tuần điều trị tại bệnh viện địa phương, tình trạng của ông xấu đi đột ngột. Khó thở, rối loạn ý thức cùng kết quả chụp CT cho thấy hai phổi bị nhiễm trùng nặng, gần như “trắng xóa”. Dù đã được hỗ trợ thở máy, tình trạng oxy máu vẫn không cải thiện.

Nhờ can thiệp bằng phương pháp ECMO, các bác sĩ mới tạm thời ổn định các chức năng sinh tồn của bệnh nhân. Sau hơn 20 ngày điều trị tích cực, kết hợp kháng sinh đặc hiệu và hỗ trợ hô hấp, ông mới có thể cai máy thở và dần hồi phục.

Quá trình bệnh tiến triển rất nhanh, chỉ trong vòng 3-4 ngày từ khi có triệu chứng, bệnh nhân đã bị suy đa cơ quan. Các loại kháng sinh thông thường gần như không có tác dụng, khiến các bác sĩ nghi ngờ có tác nhân gây bệnh đặc biệt. Bác sĩ Thôi Khả, Trưởng khoa Hồi sức tích cực, cho biết: quá trình này là minh chứng rõ ràng cho thấy mức độ nguy hiểm của bệnh nếu không được chẩn đoán và điều trị kịp thời.

Vi khuẩn Legionella ưa thích môi trường ấm và ẩm, thường sinh sôi trong nước làm mát của điều hòa, vòi sen, tháp giải nhiệt hoặc hệ thống nước nhân tạo. Khi các thiết bị này hoạt động, nước có thể tạo thành khí dung chứa vi khuẩn và dễ dàng hít phải, gây nhiễm bệnh.

Hầu như mỗi năm, các bệnh nhân viêm phổi do Legionella đều có liên quan đến việc sử dụng điều hòa không đúng cách. Bệnh tiến triển rất nhanh, trong vòng một tuần có thể dẫn tới suy hô hấp, sốc nhiễm trùng, suy thận cấp hoặc suy đa cơ quan. Tỷ lệ tử vong của các ca viêm phổi do Legionella khoảng 10-15%, nhưng có thể lên đến 25-50% trong môi trường bệnh viện, đặc biệt đối với những bệnh nhân có hệ miễn dịch yếu hoặc bệnh nền nặng.

Triệu chứng ban đầu thường dễ nhầm lẫn với cảm cúm: sốt, đau đầu, đau cơ, tự khỏi sau vài ngày. Tuy nhiên, bệnh nặng hơn sẽ thể hiện rõ với sốt cao 39-40,5 độ C, ho có đờm, có thể lẫn máu, kèm khó thở, đau ngực, buồn nôn, nôn và tiêu chảy. Rối loạn ý thức hoặc ngủ gà cũng là những dấu hiệu cảnh báo nguy hiểm.

Các chuyên gia cảnh báo, điều hòa lâu ngày không vệ sinh là một trong những nguyên nhân chính gây ra tình trạng này. Bởi nhiệt độ nước trong hệ thống làm mát thường duy trì ở mức phù hợp cho vi khuẩn Legionella sinh sôi, từ 25-45 độ C. Khi đó, khí dung chứa vi khuẩn tích tụ trong phòng do khí lưu thông kém khi đóng kín cửa trong thời gian dài.

Để phòng tránh, các bác sĩ khuyến cáo vệ sinh định kỳ điều hòa, đặc biệt là lưới lọc và dàn tản nhiệt, sử dụng dung dịch khử khuẩn chuyên dụng hoặc nhờ kỹ thuật viên bảo dưỡng. Khi sử dụng điều hòa sau thời gian dài không dùng, nên mở cửa thông gió trước để giảm nguy cơ tích tụ khí dung chứa vi khuẩn. Ngoài ra, mở cửa sổ để trao đổi không khí vài giờ mỗi ngày giúp giảm sự phát triển của vi khuẩn trong môi trường khép kín.

Chuyên gia khuyên rằng, những người cao tuổi, bệnh nhân mắc bệnh mạn tính hoặc có hệ miễn dịch suy yếu cần hạn chế ở trong phòng điều hòa kín lâu, để tránh mắc các bệnh liên quan đến Legionella. Khi xuất hiện các triệu chứng như sốt cao, ho, tiêu chảy không đáp ứng với kháng sinh thông thường, cần đi khám ngay để được xét nghiệm chẩn đoán kịp thời. Các phương pháp xét nghiệm như xét nghiệm kháng nguyên trong nước tiểu, nuôi cấy đờm hoặc dịch rửa phế nang có thể giúp xác định bệnh nhanh chóng, từ đó tăng khả năng điều trị thành công và giảm thiểu rủi ro tử vong.

Để lại một bình luận

Email của bạn sẽ không được hiển thị công khai. Các trường bắt buộc được đánh dấu *